产品搜索
当前位置:首页 > 产品中心 > 单克隆抗体和多克隆抗体
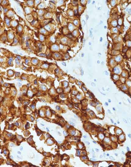
SSTR2
神经内分泌癌,SSTR2染色,细胞质/细胞膜阳性
  • 产品编号:RMA-0860
  • 兔抗人:单克隆抗体
  • 克隆号:EP149
  • 适用组织:石蜡切片
  • 阳性部位:细胞质/细胞膜
  • 预处理:EDTA热修复

SSTR2(Somatostatin receptor 2,生长抑素受体2 )是G-蛋白偶联的细胞膜受体。广泛表达于各种正常器官组织,如胰腺、大脑、肾脏、空肠、结肠和肝等。在肿瘤中,主要表达于各种神经内分泌肿瘤和多种实体瘤,如胰腺神经内分泌肿瘤、垂体腺瘤、脑膜瘤、乳腺癌、小细胞肺癌和产生激素的胃肠道肿瘤。此外,在正常前列腺中一般为阳性表达,而前列腺癌大多数为阴性。资料表明,SSTR2可作为奥曲肽药物的预后标记物,肽受体放射性核素治疗(PRRT)是转移性神经内分泌肿瘤患者的治疗方法之一,若肿瘤组织中SSTR2阴性表达,则不能使用核素靶向治疗。是神经内分泌肿瘤改善总生存期和无进展生存期的独立预测因子;在甲状腺髓样癌中的表达与生存率提高相关;与肝细胞癌预后较差有关。

价格
规格1.5ml3.0ml6.0ml0.1ml(浓缩)0.2ml(浓缩)阳性对照片(3片/盒)
价格-740.00 1450.00-1845.0025.00