产品搜索
当前位置:首页 > 新闻资讯 > 迈新动态

迈新携手王红阳院士团队合作自主研发的新型肝癌检测试剂盒首获CFDA认证

发布时间:2014-9-30 16:14:11

        2014年8月,福州迈新生物技术开发有限公司(以下简称“迈新公司”)携手上海东方肝胆医院外科研究所王红阳院士及其团队联合研发的Glypican-3(GPC3)检测试剂盒(免疫组织化学法)获得国家食品药品监督管理总局(CFDA)颁发的体外诊断三类免疫组化产品注册证。

        众所周知,肝癌是人类最常见的恶性肿瘤之一。临床多采用半年检测一次甲胎蛋白(AFP)和行B超检查,以实现肝癌的早期诊断和监测,但实践经验表明,影像学检查对肝脏早期病变不敏感,且依赖操作者的经验,存在明显的局限性;血清AFP检测虽因其操作简便、低侵入性、成本低而公认为筛查的第一选择,但AFP阳性检出率不足50%,且相当数量的慢性肝炎及肝硬化病例其血清AFP水平呈阳性反应,存在一定的漏诊率和误诊率,因此亟需寻找新的肝癌标志物。
        王红阳院士是生物信号领域研究的杰出女将,作为我国最年轻的女院士之一,早在97年就创立了国内首个国际合作生物信号转导研究中心,肩负早日解决肝癌难题的使命,在国际上率先发现新的肝癌诊断标志物,努力克服研究初期制备单克隆抗体技术的不成熟,以其特有的执着,取得了突破性的进展,硕果累累。GPC3正是其中之一。经研究表明,GPC3在原发性肝癌的发生发展中有重要作用,可成为原发性肝癌特别是甲胎蛋白阴性肝癌的一个新标记物。经典的肝癌标记物AFP敏感性较低,在肝癌组织中表达率低,阳性表达率约为30%左右,而GPC3在肝癌中的阳性表达率可达80%。GPC3具有较高的敏感度和特异性,在肝细胞癌中高表达,在肝脏良性病变及癌前病变中不表达或低表达,有助于将微小肝癌和高级别不典型增生鉴别开来,肝穿刺活检标本行GPC3免疫组化染色可作为有效的肝癌早期鉴别诊断辅助工作,有助于预测HCC患者治疗和预后改善。
        根据双方签署的协议,迈新公司为GPC3检测试剂盒的研发优化、临床试验、量化生产和注册申报提供一站式技术支撑。迈新20年来一直致力于为病理科提供高品质、全方位的病理解决方案,已逐渐形成了完整的免疫组化上中下游的研发平台。为改变国内免疫组化产品生产和使用现状,公司倾力投入,积极响应国家相关政策要求,严格把控产品质量,砥经磨砺,成为国内最早获得CFDA三类免疫组化注册证的试剂生产商,且现仍为目前获得CFDA三类肿瘤相关检测试剂注册证最多的企业之一。相信此次产研合作将有助于双方建立长期互信合作机制,推进肝癌诊断和治疗研究,助力国产抗体实现产业化生产和临床应用,从而建立一个体外诊断试剂领域具有自主知识产权的科技创新平台。这也对打破外企长期垄断地位,提高国产体外诊断试剂在医疗卫生高端市场的占有率具有重要战略意义。

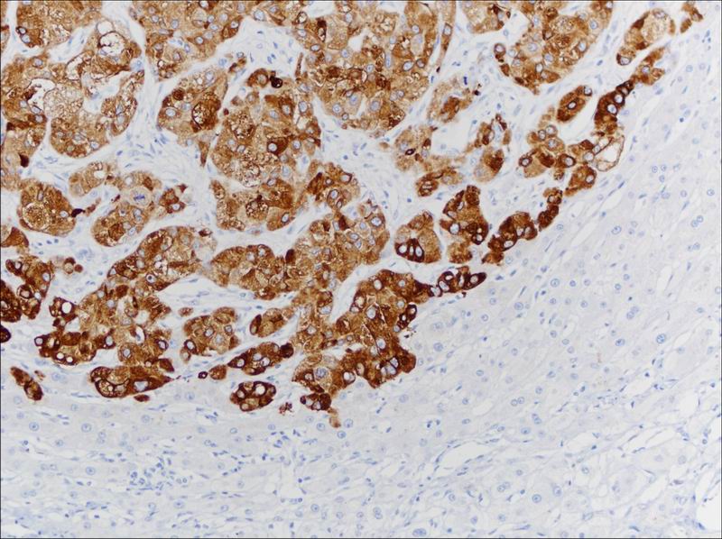
原发性肝细胞癌Glypican-3 染色,胞质阳性

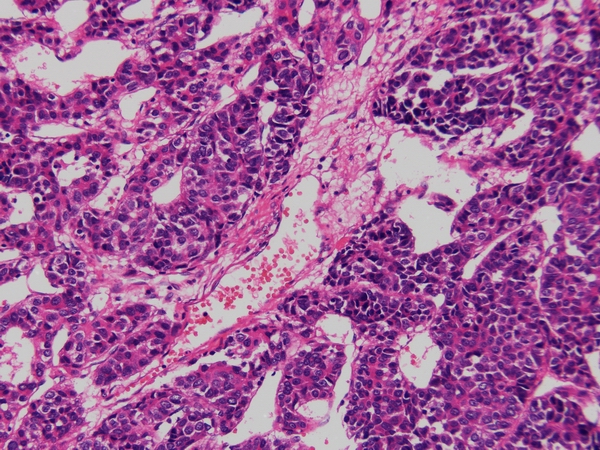
HE染色

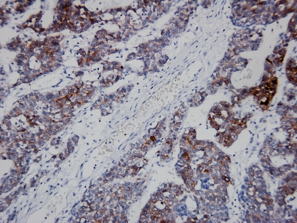
GPC-3染色

产品信息:
产品编号
克隆号
注册证号
MAB-0667MAXIM001国食药监械(准)字2014第3401502号
延伸阅读:科技日报-中国科技网 http://www.wokeji.com/shouye/zxfxycx/201409/t20140927_828365.shtml