欢迎您来到迈新免疫组化世界!
电话:800-8581156
info@maxim.com.cn
在线客服
English
高级搜索
导航栏
网站首页
产品中心
单克隆抗体和多克隆抗体
CFDA免疫组化检测试剂盒
免疫组化检测系统和试剂盒
免疫组化配套试剂
全自动免疫组化染色仪
分子病理学产品
服务支持
免疫组化与病理
免疫组化技术交流
公共实验室
新开展IHC推荐清单及介绍
咨询反馈
新闻资讯
迈新动态
行业资讯
热点聚焦
会议通告
资料荟萃
产品目录
迈新园地
指南手册
抗体图库
人力资源
招聘信息
人才储备
应聘指南
福利薪酬
走进迈新
迈新简介
迈新历程
迈新荣誉
企业文化
迈新•病理基金
联系我们
产品中心
单克隆抗体和多克隆抗体
CFDA免疫组化检测试剂盒
免疫组化检测系统和试剂盒
免疫组化配套试剂
全自动免疫组化染色仪
分子病理学产品
产品搜索
高级搜索
抗体
A
A
B
C
D
E
F
G
H
I
J
K
L
M
N
O
P
Q
R
S
T
U
V
W
X
Y
Z
当前位置:
首页
>
产品中心
> 单克隆抗体和多克隆抗体
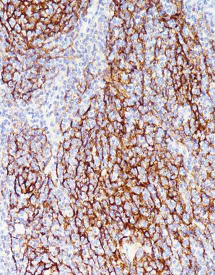
产品名称:CD21
产品编号:RMA-0811
阳性部位:细胞膜
图片描述:
MALT淋巴瘤,CD21染色,胞膜阳性
产品名称:CD21
产品编号:RMA-1037
阳性部位:胞膜
图片描述:
MALT淋巴瘤,CD21染色,胞膜阳性
产品名称:CD15
产品编号:MAB-0779
阳性部位:胞膜/胞质
图片描述:
霍奇金淋巴瘤,CD15染色,胞膜/胞质阳性
产品名称:CD5
产品编号:MAB-0827
阳性部位:胞膜
图片描述:
扁桃体,CD5染色,胞膜阳性
产品名称:CD3
产品编号:MAB-0740
阳性部位:胞膜
图片描述:
阑尾,CD3染色,胞膜阳性
产品名称:β-Catenin
产品编号:MAB-0754
阳性部位:细胞膜/细胞质/细胞核
图片描述:
前列腺癌,β-catenin染色,细胞质/细胞膜阳性
产品名称:Calretinin
产品编号:MAB-0716
阳性部位:细胞质/细胞核
图片描述:
间皮瘤,Calretinin染色,细胞质/细胞核阳性
产品名称:Calponin
产品编号:MAB-0712
阳性部位:胞质
图片描述:
乳腺组织,Calponin染色,胞质阳性
产品名称:Ksp-Cadherin
产品编号:MAB-0787
阳性部位:胞膜
图片描述:
肾脏,Ksp-Cadherin染色,细胞膜阳性
产品名称:CA125
产品编号:MAB-0830
阳性部位:胞质/胞膜
图片描述:
卵巢浆液性癌,CA125染色,胞质/胞膜阳性
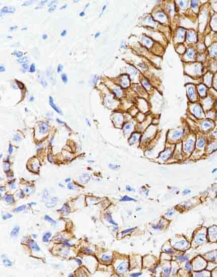
产品名称:CA19-9
产品编号:MAB-0778
阳性部位:细胞质
图片描述:
肠癌,CA19-9 染色,细胞质阳性
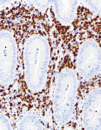
产品名称:Bob.1
产品编号:RMA-0809
阳性部位:细胞核/细胞质
图片描述:
阑尾,Bob·1染色,细胞核/细胞质阳性
共
393
条
33
页
首页
上一页
17
18
19
20
21
下一页
末页