欢迎您来到迈新免疫组化世界!
电话:800-8581156
info@maxim.com.cn
在线客服
English
高级搜索
导航栏
网站首页
产品中心
单克隆抗体和多克隆抗体
CFDA免疫组化检测试剂盒
免疫组化检测系统和试剂盒
免疫组化配套试剂
全自动免疫组化染色仪
分子病理学产品
服务支持
免疫组化与病理
免疫组化技术交流
公共实验室
新开展IHC推荐清单及介绍
咨询反馈
新闻资讯
迈新动态
行业资讯
热点聚焦
会议通告
资料荟萃
产品目录
迈新园地
指南手册
抗体图库
人力资源
招聘信息
人才储备
应聘指南
福利薪酬
走进迈新
迈新简介
迈新历程
迈新荣誉
企业文化
迈新•病理基金
联系我们
产品中心
单克隆抗体和多克隆抗体
CFDA免疫组化检测试剂盒
免疫组化检测系统和试剂盒
免疫组化配套试剂
全自动免疫组化染色仪
分子病理学产品
产品搜索
高级搜索
抗体
A
A
B
C
D
E
F
G
H
I
J
K
L
M
N
O
P
Q
R
S
T
U
V
W
X
Y
Z
当前位置:
首页
>
产品中心
> 单克隆抗体和多克隆抗体
产品名称:TdT
产品编号:RMA-1044
阳性部位:细胞核
图片描述:
胸腺瘤,TdT染色,细胞核阳性。
产品名称:Survivin
产品编号:RAB-0536
阳性部位:细胞质/细胞核
图片描述:
胰腺腺泡细胞癌,Survivin染色, 细胞核、细胞质阳性。
产品名称:Serotonin
产品编号:RAB-0149
阳性部位:细胞质
图片描述:
阑尾,Serotonin 染色,细胞质阳性。
产品名称:Stathmin
产品编号:RMA-0641
阳性部位:细胞质
图片描述:
肺鳞癌,stathmin染色,细胞质阳性。
产品名称:Somatostatin
产品编号:RAB-0153
阳性部位:细胞质
图片描述:
胰腺,Somatostatin染色,细胞质阳性。
产品名称:S100
产品编号:RAB-0150
阳性部位:细胞质/细胞核
图片描述:
阑尾,S100染色,细胞质/细胞核阳性
产品名称:S100
产品编号:Kit-0007
阳性部位:细胞质/细胞核
图片描述:
神经鞘瘤,S100染色,细胞质/细胞核阳性
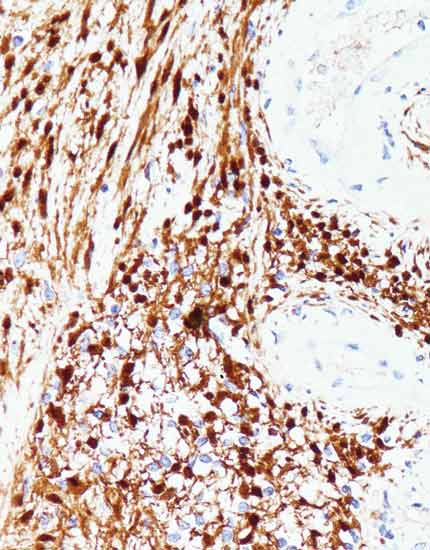
产品名称:RCC
产品编号:MAB-0309
阳性部位:细胞膜/细胞质
图片描述:
肾透明性细胞癌,RCC染色,细胞膜/细胞质阳性。
产品名称:Rb
产品编号:MAB-0186
阳性部位:细胞核
图片描述:
扁桃体,Rb染色,细胞核阳性
共
393
条
33
页
首页
上一页
29
30
31
32
33