欢迎您来到迈新免疫组化世界!
电话:800-8581156
info@maxim.com.cn
在线客服
English
高级搜索
导航栏
网站首页
产品中心
单克隆抗体和多克隆抗体
CFDA免疫组化检测试剂盒
免疫组化检测系统和试剂盒
免疫组化配套试剂
全自动免疫组化染色仪
分子病理学产品
服务支持
免疫组化与病理
免疫组化技术交流
公共实验室
新开展IHC推荐清单及介绍
咨询反馈
新闻资讯
迈新动态
行业资讯
热点聚焦
会议通告
资料荟萃
产品目录
迈新园地
指南手册
抗体图库
人力资源
招聘信息
人才储备
应聘指南
福利薪酬
走进迈新
迈新简介
迈新历程
迈新荣誉
企业文化
迈新•病理基金
联系我们
产品中心
单克隆抗体和多克隆抗体
CFDA免疫组化检测试剂盒
免疫组化检测系统和试剂盒
免疫组化配套试剂
全自动免疫组化染色仪
分子病理学产品
产品搜索
高级搜索
抗体
A
A
B
C
D
E
F
G
H
I
J
K
L
M
N
O
P
Q
R
S
T
U
V
W
X
Y
Z
当前位置:
首页
>
产品中心
> 单克隆抗体和多克隆抗体
产品名称:Vimentin
产品编号:MAB-0735
阳性部位:细胞质
图片描述:
阑尾,Vimentin染色,细胞质阳性。
产品名称:Vimentin
产品编号:Kit-0019
阳性部位:细胞质
图片描述:
胃肠道间质瘤,Vimentin染色,细胞质阳性。
产品名称:Villin
产品编号:MAB-0540
阳性部位:细胞质
图片描述:
结肠管状腺癌,Villin染色,细胞质阳性。
产品名称:VEGF
产品编号:RAB-0157
阳性部位:细胞质
图片描述:
血管肉瘤,VEGF染色,细胞质阳性。
产品名称:VEGF
产品编号:MAB-0243
阳性部位:细胞质
图片描述:
胃腺癌,VEGF染色,细胞质阳性。
产品名称:Uroplakin III
产品编号:RMA-0640
阳性部位:细胞质/细胞膜
图片描述:
尿路上皮癌,Uroplakin III染色,细胞质/细胞膜阳性。
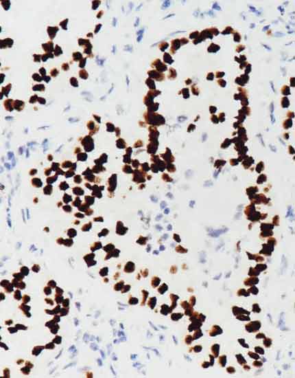
产品名称:TTF-1
产品编号:MAB-0266
阳性部位:细胞核
图片描述:
肺腺癌,TTF-1染色,细胞核阳性。
产品名称:β-Tubulin III
产品编号:MAB-0636
阳性部位:胞质
图片描述:
肺腺癌,β-Tubulin-III染色,细胞质阳性
产品名称:TSH
产品编号:MAB-0882
阳性部位:胞质
图片描述:
垂体瘤,TSH染色,细胞质阳性。
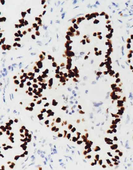
产品名称:TTF-1
产品编号:MAB-0599
阳性部位:细胞核
图片描述:
肺腺癌,TTF-1染色,细胞核阳性。
产品名称:TS
产品编号:MAB-0171
阳性部位:细胞质/细胞核
图片描述:
乳腺癌,TS染色,细胞质/细胞核阳性。
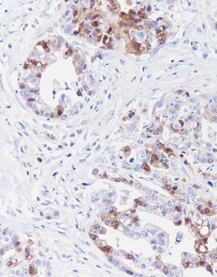
产品名称:Thyroglobulin(THY)
产品编号:RAB-0160
阳性部位:细胞质
图片描述:
甲状腺乳头状癌,THY染色,细胞质阳性。
共
393
条
33
页
首页
上一页
29
30
31
32
33
下一页
末页