欢迎您来到迈新免疫组化世界!
电话:800-8581156
info@maxim.com.cn
在线客服
English
高级搜索
导航栏
网站首页
产品中心
单克隆抗体和多克隆抗体
CFDA免疫组化检测试剂盒
免疫组化检测系统和试剂盒
免疫组化配套试剂
全自动免疫组化染色仪
分子病理学产品
服务支持
免疫组化与病理
免疫组化技术交流
公共实验室
新开展IHC推荐清单及介绍
咨询反馈
新闻资讯
迈新动态
行业资讯
热点聚焦
会议通告
资料荟萃
产品目录
迈新园地
指南手册
抗体图库
人力资源
招聘信息
人才储备
应聘指南
福利薪酬
走进迈新
迈新简介
迈新历程
迈新荣誉
企业文化
迈新•病理基金
联系我们
产品中心
单克隆抗体和多克隆抗体
CFDA免疫组化检测试剂盒
免疫组化检测系统和试剂盒
免疫组化配套试剂
全自动免疫组化染色仪
分子病理学产品
产品搜索
高级搜索
抗体
A
A
B
C
D
E
F
G
H
I
J
K
L
M
N
O
P
Q
R
S
T
U
V
W
X
Y
Z
当前位置:
首页
>
产品中心
> 单克隆抗体和多克隆抗体
产品名称:CD15
产品编号:MAB-1138
阳性部位:胞膜/胞质
图片描述:
霍奇金淋巴瘤,CD15染色,细胞膜/细胞质阳性
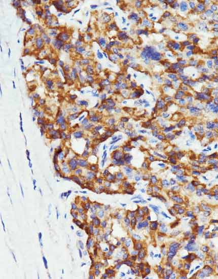
产品名称:CD4
产品编号:RMA-1086
阳性部位:细胞膜
图片描述:
外周T细胞淋巴瘤,CD4染色,细胞膜阳性
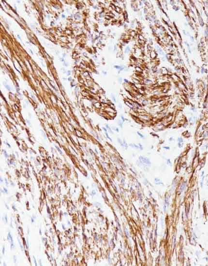
产品名称:Caldesmon
产品编号:MAB-0865
阳性部位:细胞质
图片描述:
子宫平滑肌瘤,Caldesmon染色,细胞质阳性
产品名称:Calcitonin
产品编号:RMA-1130
阳性部位:细胞质
图片描述:
甲状腺髓样癌,Calcitonin染色,细胞质阳性
产品名称:BRAF V600E
产品编号:MAB-1078
阳性部位:胞质
图片描述:
非小细胞肺癌,BRAF V600E染色,细胞质阳性
产品名称:B7H4
产品编号:RMA-1119
阳性部位:胞膜/胞质
图片描述:
卵巢癌,B7H4染色,细胞膜/细胞质阳性
产品名称:B7H3
产品编号:RMA-1107
阳性部位:胞膜/胞质
图片描述:
肺腺癌,B7H3染色,细胞膜/细胞质阳性
产品名称:AKR1C1
产品编号:MAB-1132
阳性部位:胞质/胞核
图片描述:
肝癌。AKR1C1染色,细胞质/细胞核阳性
产品名称:ACTH
产品编号:MAB-1128
阳性部位:胞质
图片描述:
垂体瘤,ACTH染色,细胞质阳性
产品名称:TROP2
产品编号:RMA-1073
阳性部位:细胞膜
图片描述:
乳腺癌,TROP2染色,细胞膜阳性。
产品名称:Synaptophysin
产品编号:MAB-0742
阳性部位:细胞质
图片描述:
神经内分泌癌,Synaptophysin染色,细胞质阳性
产品名称:SSTR5
产品编号:RMA-1008
阳性部位:细胞膜
图片描述:
胰腺,SSTR5染色,细胞膜阳性
共
393
条
33
页
首页
上一页
4
5
6
7
8
下一页
末页