欢迎您来到迈新免疫组化世界!
电话:800-8581156
info@maxim.com.cn
在线客服
English
高级搜索
导航栏
网站首页
产品中心
单克隆抗体和多克隆抗体
CFDA免疫组化检测试剂盒
免疫组化检测系统和试剂盒
免疫组化配套试剂
全自动免疫组化染色仪
分子病理学产品
服务支持
免疫组化与病理
免疫组化技术交流
公共实验室
新开展IHC推荐清单及介绍
咨询反馈
新闻资讯
迈新动态
行业资讯
热点聚焦
会议通告
资料荟萃
产品目录
迈新园地
指南手册
抗体图库
人力资源
招聘信息
人才储备
应聘指南
福利薪酬
走进迈新
迈新简介
迈新历程
迈新荣誉
企业文化
迈新•病理基金
联系我们
产品中心
单克隆抗体和多克隆抗体
CFDA免疫组化检测试剂盒
免疫组化检测系统和试剂盒
免疫组化配套试剂
全自动免疫组化染色仪
分子病理学产品
产品搜索
高级搜索
抗体
A
A
B
C
D
E
F
G
H
I
J
K
L
M
N
O
P
Q
R
S
T
U
V
W
X
Y
Z
当前位置:
首页
>
产品中心
> 单克隆抗体和多克隆抗体
产品名称:NUT
产品编号:RMA-1028
阳性部位:细胞核
图片描述:
精原细胞瘤,NUT染色,细胞核阳性
产品名称:NOR-1
产品编号:MAB-1036
阳性部位:细胞核
图片描述:
腺泡细胞癌,NOR-1染色,细胞核阳性
产品名称:Myosin(Smooth Muscle)
产品编号:MAB-1010
阳性部位:细胞质
图片描述:
阑尾,Myosin(Smooth Muscle)染色,细胞质阳性
产品名称:MNDA
产品编号:MAB-1071
阳性部位:细胞核
图片描述:
淋巴瘤,MNDA染色,细胞核阳性
产品名称:MGMT
产品编号:MAB-1026
阳性部位:细胞质/细胞核
图片描述:
结肠癌,MGMT染色,细胞核/细胞质阳性
产品名称:Melan A
产品编号:MAB-1033
阳性部位:细胞质
图片描述:
恶性黑色素瘤,Melan A染色,细胞质阳性,DAB显色
产品名称:Hepatocyte
产品编号:MAB-1034
阳性部位:细胞质
图片描述:
肝组织,Hepatocyte染色,细胞质阳性
产品名称:H+/K+ ATPase β
产品编号:MAB-1045
阳性部位:胞质
图片描述:
胃底腺型胃癌,H+/K+ ATPase β染色,细胞质阳性
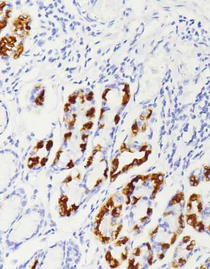
产品名称:GCDFP-15
产品编号:MAB-1035
阳性部位:细胞质
图片描述:
乳腺组织,GCDFP-15染色,细胞质阳性
产品名称:GATA3
产品编号:RMA-1067
阳性部位:胞核
图片描述:
乳腺导管癌,GATA3染色,细胞核阳性
产品名称:FRα
产品编号:MAB-1043
阳性部位:胞质/胞膜
图片描述:
卵巢癌,FRα染色,细胞质/细胞膜阳性
产品名称:FOXP3
产品编号:RMA-1021
阳性部位:胞核
图片描述:
霍奇金淋巴瘤,FOXP3染色,细胞核阳性
共
393
条
33
页
首页
上一页
6
7
8
9
10
下一页
末页