欢迎您来到迈新免疫组化世界!
电话:800-8581156
info@maxim.com.cn
在线客服
English
高级搜索
导航栏
网站首页
产品中心
单克隆抗体和多克隆抗体
CFDA免疫组化检测试剂盒
免疫组化检测系统和试剂盒
免疫组化配套试剂
全自动免疫组化染色仪
分子病理学产品
服务支持
免疫组化与病理
免疫组化技术交流
公共实验室
新开展IHC推荐清单及介绍
咨询反馈
新闻资讯
迈新动态
行业资讯
热点聚焦
会议通告
资料荟萃
产品目录
迈新园地
指南手册
抗体图库
人力资源
招聘信息
人才储备
应聘指南
福利薪酬
走进迈新
迈新简介
迈新历程
迈新荣誉
企业文化
迈新•病理基金
联系我们
产品中心
单克隆抗体和多克隆抗体
CFDA免疫组化检测试剂盒
免疫组化检测系统和试剂盒
免疫组化配套试剂
全自动免疫组化染色仪
分子病理学产品
产品搜索
高级搜索
抗体
A
A
B
C
D
E
F
G
H
I
J
K
L
M
N
O
P
Q
R
S
T
U
V
W
X
Y
Z
当前位置:
首页
>
产品中心
> 单克隆抗体和多克隆抗体
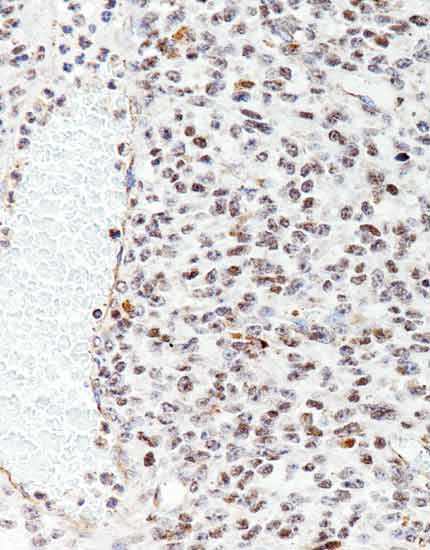
产品名称:FOXP3
产品编号:MAB-1004
阳性部位:胞核
图片描述:
霍奇金淋巴瘤,FOXP3染色,细胞核阳性
产品名称:Fibronectin
产品编号:RAB-0071
阳性部位:胞质
图片描述:
乳腺癌,Fibronectin染色,细胞质阳性
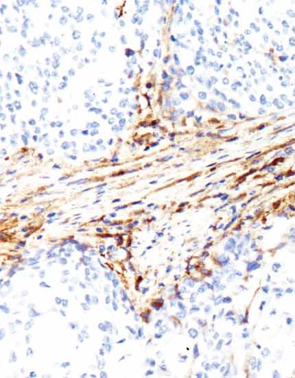
产品名称:FH
产品编号:MAB-1014
阳性部位:胞质
图片描述:
平滑肌瘤,FH染色,细胞质阳性,肿瘤细胞表达缺失
产品名称:DUX4
产品编号:MAB-1061
阳性部位:胞核
图片描述:
小圆细胞瘤,DUX4染色,细胞核阳性
产品名称:DDIT3
产品编号:MAB-1041
阳性部位:胞核
图片描述:
甲状腺滤泡性癌,DDIT3染色,细胞核阳性
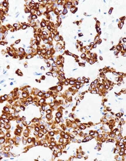
产品名称:c-Met
产品编号:RMA-1039
阳性部位:胞膜/胞质
图片描述:
肺腺癌,c-Met染色,细胞膜/细胞质阳性
产品名称:CK5
产品编号:RMA-1064
阳性部位:胞质
图片描述:
恶性上皮样间皮瘤,CK5染色,细胞质阳性
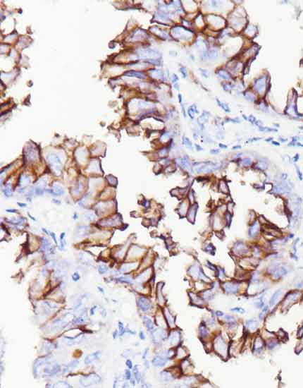
产品名称:CD73
产品编号:RMA-1025
阳性部位:胞膜
图片描述:
肺腺癌,CD73染色,细胞膜阳性
产品名称:CD35
产品编号:RMA-1053
阳性部位:细胞膜
图片描述:
滤泡树突状细胞肉瘤,CD35染色,细胞膜阳性
产品名称:CD34
产品编号:MAB-1076
阳性部位:胞膜/胞质
图片描述:
胃肠道间质瘤,CD34染色,细胞膜/细胞质阳性
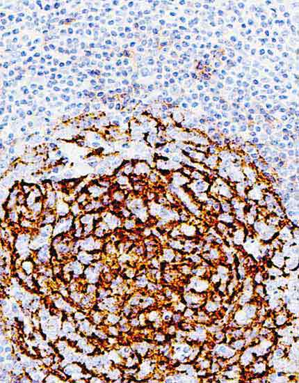
产品名称:CD23
产品编号:RMA-1030
阳性部位:胞膜
图片描述:
扁桃体,CD23染色,细胞膜阳性
产品名称:CD7
产品编号:RMA-1038
阳性部位:胞膜
图片描述:
扁桃体,CD7染色,细胞膜阳性
共
393
条
33
页
首页
上一页
7
8
9
10
11
下一页
末页