欢迎您来到迈新免疫组化世界!
电话:800-8581156
info@maxim.com.cn
在线客服
English
高级搜索
导航栏
网站首页
产品中心
单克隆抗体和多克隆抗体
CFDA免疫组化检测试剂盒
免疫组化检测系统和试剂盒
免疫组化配套试剂
全自动免疫组化染色仪
分子病理学产品
服务支持
免疫组化与病理
免疫组化技术交流
公共实验室
新开展IHC推荐清单及介绍
咨询反馈
新闻资讯
迈新动态
行业资讯
热点聚焦
会议通告
资料荟萃
产品目录
迈新园地
指南手册
抗体图库
人力资源
招聘信息
人才储备
应聘指南
福利薪酬
走进迈新
迈新简介
迈新历程
迈新荣誉
企业文化
迈新•病理基金
联系我们
产品中心
单克隆抗体和多克隆抗体
CFDA免疫组化检测试剂盒
免疫组化检测系统和试剂盒
免疫组化配套试剂
全自动免疫组化染色仪
分子病理学产品
产品搜索
高级搜索
抗体
A
A
B
C
D
E
F
G
H
I
J
K
L
M
N
O
P
Q
R
S
T
U
V
W
X
Y
Z
当前位置:
首页
>
产品中心
> 单克隆抗体和多克隆抗体
产品名称:WT1
产品编号:MAB-0678
阳性部位:细胞核
图片描述:
肾母细胞瘤,WT-1染色,细胞核阳性。
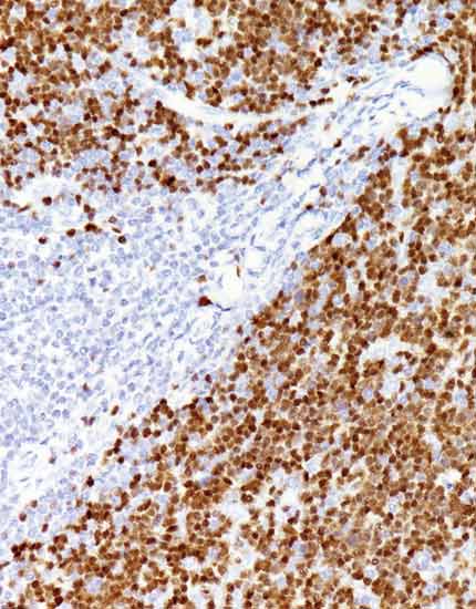
产品名称:TdT
产品编号:MAB-0676
阳性部位:细胞核
图片描述:
胸腺瘤,TdT染色,细胞核阳性。
产品名称:PMS2
产品编号:MAB-0859
阳性部位:细胞核
图片描述:
结直肠癌,PMS2染色,细胞核阳性,肿瘤细胞表达缺失
产品名称:p53
产品编号:MAB-0674
阳性部位:细胞核
图片描述:
胃窦腺癌,p53染色,细胞核阳性。
产品名称:p40
产品编号:RMA-1006
阳性部位:细胞核
图片描述:
前列腺,p40染色,细胞核阳性
产品名称:p16
产品编号:MAB-0673
阳性部位:细胞核/细胞质
图片描述:
宫颈鳞癌,p16染色,细胞核/细胞质阳性。
产品名称:Ki-67
产品编号:MAB-0672
阳性部位:细胞核
图片描述:
扁桃体,Ki-67染色,细胞核阳性
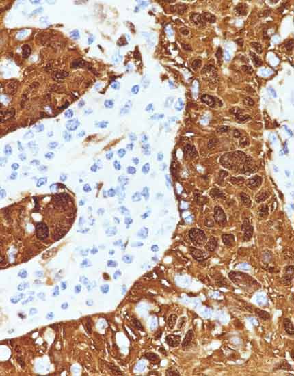
产品名称: CK(Pan)
产品编号:MAB-0671
阳性部位:胞质
图片描述:
食道中分化鳞癌CK Pan染色,肿瘤细胞 胞质阳性,DAB显色
产品名称:CK 8
产品编号:MAB-0670
阳性部位:胞质
图片描述:
原发性肝细胞癌CK8染色,胞质阳性,DAB显色
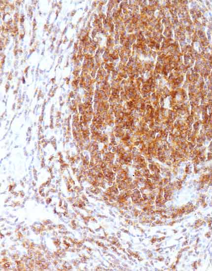
产品名称:CD123
产品编号:MAB-0655
阳性部位:胞质/胞膜
图片描述:
扁桃体,CD123染色,细胞质/细胞膜阳性
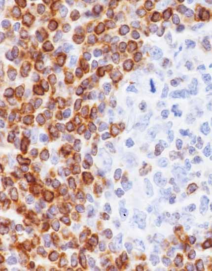
产品名称:CD10
产品编号:MAB-0668
阳性部位:细胞质/细胞膜
图片描述:
滤泡性淋巴瘤,CD10染色,细胞质/细胞膜阳性。
产品名称:Bcl-2
产品编号:RMA-0660
阳性部位:细胞膜/细胞质
图片描述:
阑尾,Bcl-2染色,细胞膜/细胞质阳性
共
393
条
33
页
首页
上一页
20
21
22
23
24
下一页
末页