欢迎您来到迈新免疫组化世界!
电话:800-8581156
info@maxim.com.cn
在线客服
English
高级搜索
导航栏
网站首页
产品中心
单克隆抗体和多克隆抗体
CFDA免疫组化检测试剂盒
免疫组化检测系统和试剂盒
免疫组化配套试剂
全自动免疫组化染色仪
分子病理学产品
服务支持
免疫组化与病理
免疫组化技术交流
公共实验室
新开展IHC推荐清单及介绍
咨询反馈
新闻资讯
迈新动态
行业资讯
热点聚焦
会议通告
资料荟萃
产品目录
迈新园地
指南手册
抗体图库
人力资源
招聘信息
人才储备
应聘指南
福利薪酬
走进迈新
迈新简介
迈新历程
迈新荣誉
企业文化
迈新•病理基金
联系我们
产品中心
单克隆抗体和多克隆抗体
CFDA免疫组化检测试剂盒
免疫组化检测系统和试剂盒
免疫组化配套试剂
全自动免疫组化染色仪
分子病理学产品
产品搜索
高级搜索
抗体
A
A
B
C
D
E
F
G
H
I
J
K
L
M
N
O
P
Q
R
S
T
U
V
W
X
Y
Z
当前位置:
首页
>
产品中心
> 单克隆抗体和多克隆抗体
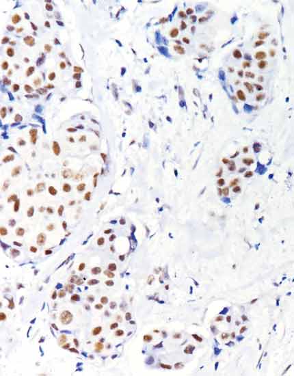
产品名称:ERCC1
产品编号:MAB-0600
阳性部位:胞核
图片描述:
乳腺癌,ERCC1染色,细胞核阳性。
产品名称:ER
产品编号:Kit-0012
阳性部位:胞核
图片描述:
乳腺导管癌ER染色,肿瘤细胞 胞核阳性,DAB显色
产品名称:ESA
产品编号:MAB-0060
阳性部位:细胞膜
图片描述:
结肠腺癌,ESA染色,细胞膜阳性
产品名称:Ber-EP4(EA)
产品编号:MAB-0519
阳性部位:胞质/胞膜
图片描述:
甲状腺乳头状癌,Ber-EP4染色,细胞质/细胞膜阳性
产品名称:EMA
产品编号:Kit-0011
阳性部位:细胞质/细胞膜
图片描述:
食管鳞癌,EMA染色,细胞质/胞膜阳性.
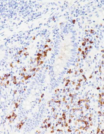
产品名称:EBV,LMP-1
产品编号:MAB-0063
阳性部位:细胞质/细胞膜
图片描述:
霍奇金氏淋巴瘤,EBV染色,细胞质/胞膜阳性
产品名称:HPL
产品编号:RAB-0213
阳性部位:胞质
图片描述:
胎盘组织,HPL染色,细胞质阳性
产品名称:Lysozyme
产品编号:RAB-0115
阳性部位:胞质
图片描述:
恶性纤维组织细胞瘤,Lysozyme染色,细胞质阳性。
产品名称:LRP
产品编号:MAB-0319
阳性部位:胞质
图片描述:
肺腺癌,LRP染色,细胞质阳性
产品名称:LMO2
产品编号:RMA-0653
阳性部位:胞核
图片描述:
扁桃体,LMO2染色,细胞核阳性
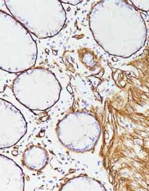
产品名称:Laminin
产品编号:MAB-0113
阳性部位:细胞质
图片描述:
肠组织,Laminin染色,细胞质阳性
产品名称:Lambda
产品编号:RAB-0112
阳性部位:细胞质
图片描述:
阑尾,Lambda染色,细胞质阳性。
共
393
条
33
页
首页
上一页
22
23
24
25
26
下一页
末页