欢迎您来到迈新免疫组化世界!
电话:800-8581156
info@maxim.com.cn
在线客服
English
高级搜索
导航栏
网站首页
产品中心
单克隆抗体和多克隆抗体
CFDA免疫组化检测试剂盒
免疫组化检测系统和试剂盒
免疫组化配套试剂
全自动免疫组化染色仪
分子病理学产品
服务支持
免疫组化与病理
免疫组化技术交流
公共实验室
新开展IHC推荐清单及介绍
咨询反馈
新闻资讯
迈新动态
行业资讯
热点聚焦
会议通告
资料荟萃
产品目录
迈新园地
指南手册
抗体图库
人力资源
招聘信息
人才储备
应聘指南
福利薪酬
走进迈新
迈新简介
迈新历程
迈新荣誉
企业文化
迈新•病理基金
联系我们
产品中心
单克隆抗体和多克隆抗体
CFDA免疫组化检测试剂盒
免疫组化检测系统和试剂盒
免疫组化配套试剂
全自动免疫组化染色仪
分子病理学产品
产品搜索
高级搜索
抗体
A
A
B
C
D
E
F
G
H
I
J
K
L
M
N
O
P
Q
R
S
T
U
V
W
X
Y
Z
当前位置:
首页
>
产品中心
> 单克隆抗体和多克隆抗体
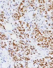
产品名称:TFE3
产品编号:RMA-0663
阳性部位:细胞核
图片描述:
肾细胞癌,TFE-3染色,细胞核阳性。
产品名称:AACT (α-1-Antichymotrysin) 抗胰糜蛋白酶
产品编号:RAB-0011
阳性部位:胞质
图片描述:
恶性纤维组织细胞瘤AACT染色,胞浆阳性,DAB显色
产品名称:ACTH 促肾上腺皮质激素
产品编号:RAB-0010
阳性部位:细胞质
图片描述:
垂体腺瘤ACTH染色,细胞质阳性,DAB显色
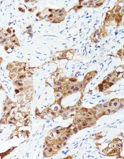
产品名称:Actin(Smooth Muscle)
产品编号:MAB-0890
阳性部位:胞质
图片描述:
乳腺癌,Actin(Smooth Muscle)染色,细胞质阳性
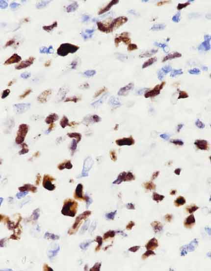
产品名称:HHV-8
产品编号:MAB-0253
阳性部位:细胞质/细胞核
图片描述:
卡波西肉瘤,HHV-8染色,细胞核阳性
产品名称:Hepatocyte
产品编号:MAB-0249
阳性部位:细胞质
图片描述:
肝组织,Hepatocyte染色,细胞质阳性
产品名称:HSP27
产品编号:MAB-0033
阳性部位:胞质/胞核
图片描述:
乳腺癌,HSP27染色,胞质阳性
产品名称:GSTπ
产品编号:MAB-0583
阳性部位:细胞质/细胞核
图片描述:
肺鳞癌,GSTπ染色,细胞质/细胞核阳性。
产品名称:GCDFP-15
产品编号:MAB-0230
阳性部位:细胞质
图片描述:
涎腺组织,GCDFP-15染色,细胞质阳性
产品名称:Gastrin
产品编号:RAB-0080
阳性部位:细胞质
图片描述:
胃组织,Gastrin 染色,细胞质阳性
产品名称:FLI-1
产品编号:MAB-0649
阳性部位:胞核
图片描述:
血管肉瘤,FLI-1 染色,细胞核阳性
产品名称:Factor VIII -R
产品编号:RAB-0070
阳性部位:细胞质
图片描述:
血管瘤,Factor VIII -R染色,细胞质阳性。
共
393
条
33
页
首页
上一页
21
22
23
24
25
下一页
末页